
Diş taşları, toplumda çoğu zaman yalnızca estetik bir sorun olarak değerlendirilse de aslında ağız ve diş sağlığını doğrudan etkileyen ciddi bir problemdir. Özel Mildent Ağız ve Diş Sağlığı Polikliniği olarak kliniğimize başvuran pek çok hastada, fark edilmeyen diş taşı birikimlerinin ilerleyerek diş eti iltihabı, ağız kokusu ve diş eti çekilmesi gibi sorunlara yol açtığını gözlemliyoruz.
Bu blog yazısında diş taşının neden oluştuğunu, nasıl temizlendiğini ve neden mutlaka düzenli olarak kontrol edilmesi gerektiğini detaylı şekilde bulabilirsiniz.
Diş Taşı Nedir? Neden Oluşur?
Diş taşı, diş yüzeyinde biriken bakteriyel plakların zamanla sertleşerek taşlaşması sonucu oluşur. Plak, yemek artıkları ve bakterilerin birleşmesiyle oluşan yapışkan bir tabakadır. Düzenli ve doğru bir fırçalama yapılmadığında bu plak minerallerle birleşerek diş taşına dönüşür.
Diş taşı oluşumunu hızlandıran faktörler:
- Yetersiz veya yanlış ağız bakımı
- Diş ipi ve ara yüz fırçası kullanmamak
- Sigara tüketimi
- Çay, kahve ve renkli içeceklerin sık tüketimi
- Ağız kuruluğu
- Genetik yatkınlık
- Düzenli diş hekimi kontrolünün aksatılması
Diş taşının en önemli özelliği evde temizlenemiyor olmasıdır. Sert yapısı nedeniyle yalnızca profesyonel bir diş taşı temizliği ile tamamen uzaklaştırılabilir.
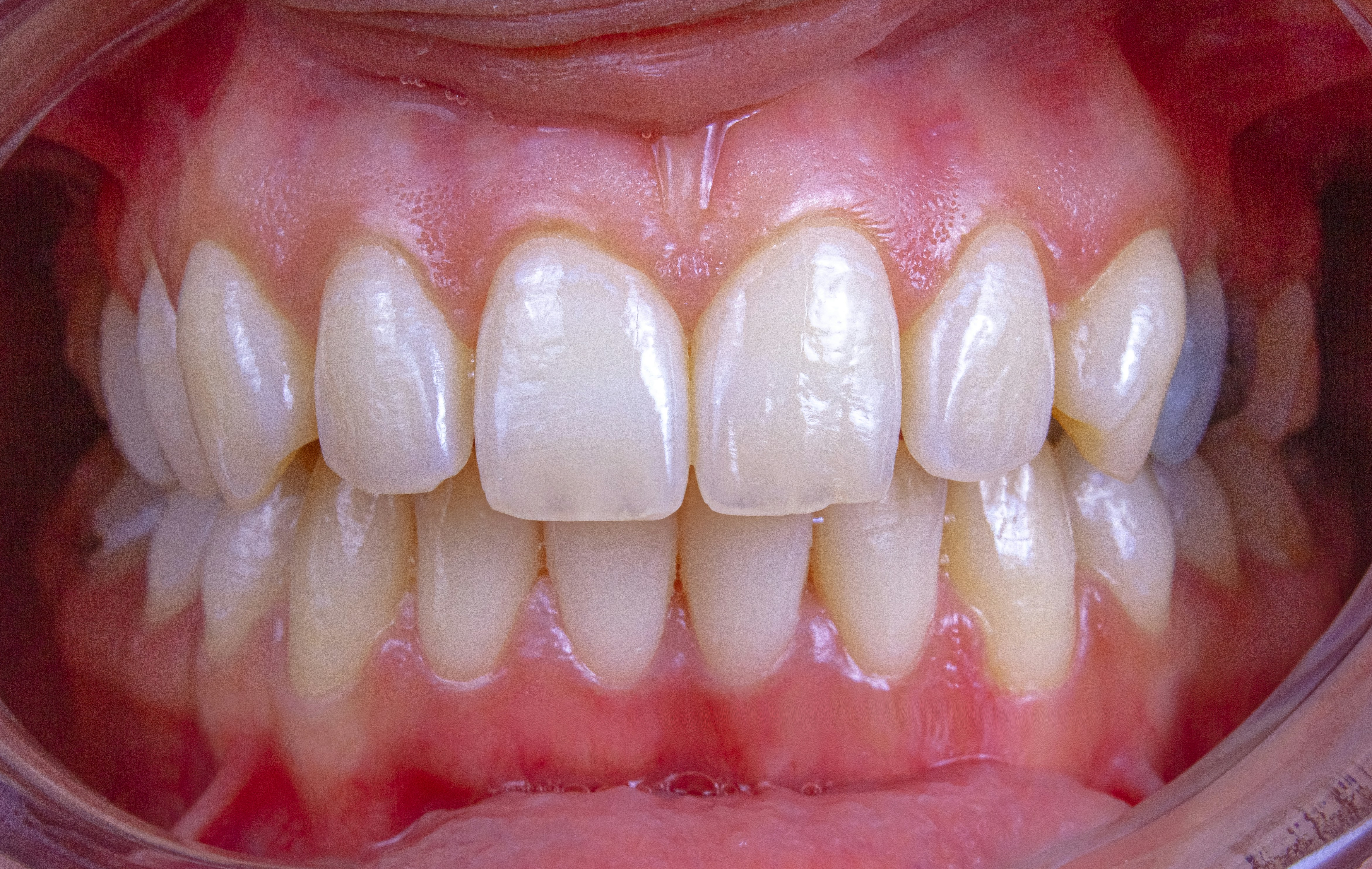
Diş Taşları Gerçekten Zararlı mı? Sadece Görüntüyü mü Bozar?
Pek çok kişi “Diş taşım var ama görüntü dışında bir şikâyetim yok” diyerek temizliği erteleyebiliyor. Ancak diş taşı yalnızca sararma ve renk değişikliklerine değil, çok daha ciddi sağlık sorunlarına da yol açabilir.

1. Diş Eti İltihabı (Gingivitis)
Diş taşları, diş etini sürekli tahriş eden bakteri yoğunluğuna sahiptir. Bu durum diş eti kızarıklığı, şişlik ve kanama ile kendini gösterir. Diş eti kanaması asla normal değildir ve mutlaka kontrol edilmelidir.
2. Ağız Kokusu (Halitozis)
Diş taşı birikimi ağız kokusunun en sık nedenlerinden biridir. Diş taşı temizliği yapıldıktan sonra hastalarımızın büyük çoğunluğu kötü kokunun önemli ölçüde azaldığını belirtmektedir.
3. Diş Eti Çekilmesi
Diş taşları diş etini yukarı doğru iterek çekilmeye neden olabilir. Çekilme arttıkça diş kökleri açığa çıkar ve hassasiyet başlar.
4. Kemik Kaybı
Tedavi edilmeyen diş taşı birikimi zamanla periodontitise dönüşebilir. Bu aşamada artık yalnızca diş etleri değil, dişleri tutan kemik dokusu da zarar görmeye başlar.
5. Diş Kaybı
İleri periodontitis sonucu dişlerde sallanma ve diş kaybı kaçınılmaz hale gelebilir. Oysa düzenli kontrollerle bu süreç tamamen önlenebilir.

Diş Taşı Temizliği Nasıl Yapılır? Ağrılı mıdır?
Özel Mildent Ağız ve Diş Sağlığı Polikliniği’nde diş taşı temizliği, modern ultrasonik cihazlar kullanılarak ağrısız bir şekilde yapılır.
İşlem sırasında:
- Diş taşları ultrasonik titreşimlerle yüzeyden uzaklaştırılır.
- İnce bölgelerde daha detaylı temizleme yapılır.
- Diş yüzeyleri parlatılarak pürüzsüz hale getirilir.
- Gerekirse florür uygulaması yapılır.
Bu işlem genellikle 20–30 dakika sürer ve hastalar hemen günlük yaşamlarına dönebilir.
Diş Taşı Evde Temizlenebilir mi?
Hayır.
Evde karbonat, limon, sirke, kesici aparatlar veya internette satılan diş taşı kazıyıcıları gibi yöntemler hem etkisizdir hem de diş minesi ve diş etlerine kalıcı zarar verebilir.
Diş taşı yalnızca diş hekimi tarafından temizlenmelidir.
Diş Taşı Temizliği Ne Sıklıkla Yapılmalıdır?
Klinik olarak önerimiz 6 ayda bir profesyonel temizlik yapılmasıdır.
Bazı bireylerde tükürük yapısı veya alışkanlıklar nedeniyle diş taşı daha hızlı oluşabilir; bu kişilerde kontrol aralığı 3–4 aya düşürülebilir.
Diş Taşı Oluşumunu Nasıl Engelleyebilirsiniz?
Diş taşı oluşumunu tamamen durdurmak mümkün olmasa da önemli ölçüde azaltmak mümkündür:
- Günde en az 2 kez doğru teknikle diş fırçalamak
- Diş ipi ya da ara yüz fırçası kullanmak
- Ağız gargarası ile desteklemek
- Sigara ve asitli içecekleri azaltmak
- Düzenli diş hekimi kontrollerini aksatmamak
Özel Mildent olarak her hastaya ağız yapısına özel bakım önerileri sunuyoruz.
Özel Mildent Ağız ve Diş Sağlığı Polikliniği’nde Diş Taşı Temizliği
Kliniğimizde diş taşı temizliği, deneyimli hekimler tarafından tamamen ağrısız şekilde uygulanmaktadır. Modern cihazlarımız sayesinde işlem sırasında rahatsızlık hissi minimuma iner.
Düzenli diş taşı temizliği yaptıran hastalarda:
- Diş eti kanamaları azalır
- Ağız kokusu kaybolur
- Diş eti sağlığı düzelir
- Dişlerin görünümü belirgin şekilde iyileşir
- Uzun vadede diş kaybı riski düşer
Ağız ve diş sağlığınızı korumak için konforlu ve güvenilir bir ortamda hizmet sunuyoruz.
Sonuç: Diş Taşları Sadece Estetik Bir Sorun Değildir
Diş taşı, ihmal edildiğinde diş eti hastalıklarına, kemik kaybına ve diş kayıplarına yol açabilen ciddi bir sağlık problemidir. Düzenli diş hekimi kontrolü ve profesyonel temizlik ile bu süreci tamamen kontrol altına almak mümkündür.
Özel Mildent Ağız ve Diş Sağlığı Polikliniği olarak sağlıklı bir ağız için her zaman yanınızdayız.



